きれいになりたい方へ - 審美歯科
デンタルエステ
ヤニ、歯石、歯の着色、歯茎の黒ずみ、口臭やむし歯以外にも相手に悪い印象を与えてはいませんか?
当院では、最新の機械を導入して歯のクリーニング(掃除)を、行っております。とても心地よいものです。
当院では、最新の機械を導入して歯のクリーニング(掃除)を、行っております。とても心地よいものです。
⇒ デンタルエステ(歯のクリーニング)のご案内
ホワイトニング (さらに白い歯に・・)
歯の漂白(ホワイトニング)をご存知ですか?歯全体が黄色い方の場合は、お掃除だけではこの黄ばみは取れません。
加齢とともに黄ばみは濃くなります。又生まれつき歯の色が黄色い方など、色に関して悩まれる方はこの治療をお勧めします。
歯を削らないで真っ白にしていく方法です。是非、ご自分の歯の色を再確認してみてください。ホワイトニングは、あなたの歯の色を透明感のある自然な白さにしていきます。
歯の色が白ければ、笑顔も映えますね。一回でかなりの効果があります。 “来て良かった”とご満足いただける新しい歯科です。
加齢とともに黄ばみは濃くなります。又生まれつき歯の色が黄色い方など、色に関して悩まれる方はこの治療をお勧めします。
歯を削らないで真っ白にしていく方法です。是非、ご自分の歯の色を再確認してみてください。ホワイトニングは、あなたの歯の色を透明感のある自然な白さにしていきます。
歯の色が白ければ、笑顔も映えますね。一回でかなりの効果があります。 “来て良かった”とご満足いただける新しい歯科です。
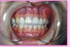
| 漂白1 |
||
| 術前 つめもの(レジン)や着色、黄ばみ |
クリーニングのあと上の歯のみブリーティングを実施 |
術後 患者さんの希望により下の歯も一番白い色にブリーティングを1回行い治療終了 |
![]() |
![]() |
![]() |
| |
||
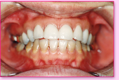
| 漂白2 |
||
| 術前 上の差し歯を治療する前にしたの歯全部を一番白い色にブリーティングを実施 |
下の歯に合わせて左上の差し歯をセラミックスに交換、残りの前歯3本の審美治療を実地 |
術後 犬歯から後ろは漂白を行い治療終了 綺麗な 歯になりました。 |
![]() |
![]() |
![]() |
| |
||
| 漂白(歯肉の漂白) |
||
| 術前 歯肉黒ずみ(メラニン色素)が目立ちます。 |
上の歯肉の黒ずみをレーザーで除去しました。麻酔の必要がなく治療時間も5分~10分位です。回数は4回くらいです。 |
術後 上の歯肉の黒ずみも下の歯肉の黒ずみも薄くなりました。 |
![]() |
![]() |
![]() |
歯については、多くの場合、痛みはありません。歯肉はラバーシートで保護します。麻酔の注射も不要です。
ブリーチング剤の主成分は、消毒剤としてよく使われている過酸化水素水です。副作用の問題はありません。
- ブリーチングの効果はひとによって異なります。どのくらいの白さにしたいのか、ご自分の希望を担当医に伝えてよくご相談ください。
- 変色した歯のなかには、ブリーチングだけでは難しいものがあり、ラミネート・ベニアなどの治療法が適している場合もあります。
- エナメル質に亀裂のある歯はブリーチングに適しませんが、治療すればブリーチング可能になりますので、担当医にご相談ください。
- 不適合なつめ物などがある場合は、その治療を優先する必要があります。
- ブリーチングの回数や治療期間には、個人差があります。1回のブリーチングで希望する白さになる人もいれば、数回のブリーチングが必要な人もいます。
- また、ブリーチングの回数や治療期間は、歯の変色の状態や原因に大きく左右されます。希望される白さの程度によってもちがってきます。
- 現在のところ、生きた歯(生活菌)のブリーチングは健康保険適用外で、いわゆる自由診療扱いになります。治療費については、担当医にご相談ください。
- 歯の変色の状態や原因、希望される白さの程度、本数によって治療費もちがってきます。十分に納得いくまで説明を受けてください。不明な点は担当医に遠慮なく聞いてください。
セラミックス.ハイブリッド
お口の中に古い銀歯はありませんか?さびている真っ黒の銀歯はありませんか?銀歯からセラミックスへの交換も可能です。変色してしまった歯や、全く色が合っていない差し歯の交換も可能です。金属は天然歯からあまりにもかけ離れています。
自分の歯に近い素材のもの、つまりセラミックスに変えてみてはいかがでしょうか?
自然に近い色調と透明感、光沢及び形態を選び、あなたの笑顔を作っていきます。
自分の歯に近い素材のもの、つまりセラミックスに変えてみてはいかがでしょうか?自然に近い色調と透明感、光沢及び形態を選び、あなたの笑顔を作っていきます。
| メタルによる修復 | セラミック修復 |
![]() |
![]() |
| |
|
| セレック(セラミック修復)での前歯の修復例 | |
| 術前 | 術後 |
![]() |
![]() |
| |
|
| セレックシステム適用例 | |
| 術前 | 術後 |
![]() |
![]() |
| 術前 | 術後 |
![]() |
![]() |
従来の金属や歯科用のプラスティックでは得られない、自然な白い歯の輝きを口元に映し出してくれます。
新開発のセラミックスを素材にしようしていますので、金属アレルギーなどもなく体にやさしい自然な噛み合わせができます。
長期間使用しても変色がまったくありません。真っ白い歯の美しさは、あなたの知性と気品をさりげなく、かもし出してくれます。
今、輝いている人の間では、白くきれいな歯があたりまえの時代になりました。白い歯は新鮮な感性の風を吹き込んでくれます。
スイスで生まれ、ドイツで、はぐくまれたCADの3次元システムを活用し、完成度の高いまったく新しいインレーを創造します。
※インレーとは、虫歯になった初期段階におこなうつめもののことを言います。
※セレックインレーとはセレックシステム(独・シーメンス社)で作られたインレーのこと。そのほかに患者様の歯の硬さや色などに合わせてエンプレス、e-MAXなど3種類のセラミックスを使用。
※インレーとは、虫歯になった初期段階におこなうつめもののことを言います。
※セレックインレーとはセレックシステム(独・シーメンス社)で作られたインレーのこと。そのほかに患者様の歯の硬さや色などに合わせてエンプレス、e-MAXなど3種類のセラミックスを使用。
ラミネートべニア
ホワイトニングでは難しい変色歯や、奇形歯などは、削る量を最低限に抑えて満足感を得られるラミネートべニアはどうでしょうか?
つけ爪のような薄いものですが素材がセラミックでできており透明感やつや等も限りなく天然の歯に近づけることができます。
| |
|
| ラミネートベニア施術例1 |
|
| 術前 歯の変色と変形 |
術後 形態改善と漂白を行うためラミネートベニアを実施 |
![]() |
![]() |
| |
|
| ラミネートベニア施術例2 |
|
| 術前 矯正治療終了、前歯の変色 |
術後 ラミネートベニアを実施 |
![]() |
![]() |
| |
|
| ラミネートベニア施術例3 |
|
| 術前 生まれつき前歯の奇形 |
術後 奇形の歯に対してラミネートベニアを実施 |
![]() |
![]() |
| |
|
| ラミネートベニア施術例4 |
|
| 術前 犬歯の変色 |
術後 ラミネートベニアを実施 |
![]() |
![]() |
ハッピースマイル
すぐに綺麗になりたい方へ
(近日中に面接、接待、打ち合わせ、大事なデート・・・)
削るのもいや。。。。
ホワイトニングの時間がない。。。
矯正の費用はちょっと無理。。。
そんな方には、一時的に綺麗でいられるハッピースマイルがお勧めです。
歯型を取るだけです。黄色い歯も白くできます。
少しなら歯並びもきれいにできます。
(近日中に面接、接待、打ち合わせ、大事なデート・・・)
削るのもいや。。。。
ホワイトニングの時間がない。。。
矯正の費用はちょっと無理。。。
そんな方には、一時的に綺麗でいられるハッピースマイルがお勧めです。
歯型を取るだけです。黄色い歯も白くできます。
少しなら歯並びもきれいにできます。
使用前![]() |
使用途中![]() |
使用後![]() |
使用前![]() |
使用後![]() |
グラスファイバーの土台
神経をとった歯の芯になる土台です。
右側は保険の銀の土台です。
金属は硬すぎるので、長年の咬合力に負けて歯根が破折、ひびといったトラブルが増加してきています。
そのため、何かほかに代わるものがないかと研究されてたのが、左のグラスファイバーの土台です。
もう、主流になり10年以上たっています。
グラスファイバーは、飛行機や、スキーの板、つりざおなどにも使われていて、多少の柔軟性があります。
1、硬さが歯に近いもの 中の象牙質の硬度にちかいものになっています。
2、金属を使わないので、さびる必要もないしアレルギーの問題もない。
さびないので取り替える必要もありません。
右側は保険の銀の土台です。
金属は硬すぎるので、長年の咬合力に負けて歯根が破折、ひびといったトラブルが増加してきています。
そのため、何かほかに代わるものがないかと研究されてたのが、左のグラスファイバーの土台です。
もう、主流になり10年以上たっています。
グラスファイバーは、飛行機や、スキーの板、つりざおなどにも使われていて、多少の柔軟性があります。
1、硬さが歯に近いもの 中の象牙質の硬度にちかいものになっています。
2、金属を使わないので、さびる必要もないしアレルギーの問題もない。
さびないので取り替える必要もありません。
















山手デンタル
































